
한국인 사망 3대 원인에 해당하는 폐렴은 암과 심장질환 다음으로 흔하면서도 치명적인 질환입니다.
겨울철 발병률이 높고 초기에 감기와 비슷해 방치하다가는 자칫 생명을 위협할 수도 있는 병이 될 수 있습니다.
오늘은 이렇게 위험할 수 있는 폐렴에 대해 알아보고 예방법도 함께 알아보겠습니다.
폐렴이란?
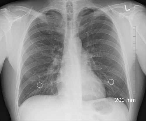
폐렴은 바이러스나 세균에 의해 세기관지 이하 폐 조직에 염증이 생기는 감염성 질환입니다. 기침, 가래, 발열과 같은 증상이 일반적이고 흉부 X-ray 사진으로 폐렴 의심 소견을 확인할 수 있습니다.


폐렴 원인
폐렴의 원인이 되는 것으로는 바이러스, 세균, 곰팡이 등이 있습니다. 구토물이나 화학 물질을 흡입하거나 노인의 경우 흡인성 폐렴으로 음식물이나 침, 이물질 등이 기도로 들어가 폐에 염증이 생기는 경우도 있습니다.
폐렴 증상



폐렴 증상은 원인균에 따라 다양하지만 폐렴의 초기 증상은 다음과 같습니다.
- 기침
- 38도 이상의 발열
- 오한
- 누런 가래
증상이 심해지면
- 호흡곤란
- 가슴 통증
- 객혈
- 식욕부진
- 피로감 등의 전신 증상
일부 노인의 경우 전형적으로 나타나는 증상이 없는 경우 병원을 늦게 찾아 폐렴이 많이 진행된 상태에서 진단받는 경우도 있습니다.
감기와 다른 점
감기의 초기 증상도 기침, 콧물, 발열, 근육통이지만 2~3일 이내로 증상이 좋아지고 호흡곤란이 발생하지 않습니다.
감기라고 생각해서 약을 먹었는데 3일 이상 고열이 계속되고 객혈이나 호흡곤란이 있는 경우에는 즉시 가까운 병원에 가 진료를 받아야 합니다.
코로나19 또한 발열, 호흡곤란, 권태감 등 다양한 전신증상과 호흡기 증상을 보이기 때문에 초기 증상만으로는 세균성 폐렴과 두 질환의 식별이 어렵기 때문에 비슷한 증상이 있는 경우에는 병원에 내원해 진단받는 것이 좋습니다.
폐렴 치료
폐렴을 치료하는 방법으로는 주사나 경구 항생제를 투여하는 것이 중요하며 증상이 심하지 않은 경우는 외래에서 치료합니다. 호흡 곤란 등 증상이 심한 경우에는 입원 치료를 합니다.


폐렴 위험 요인과 예방접종
폐렴의 위험 요인
- 65세 이상 고령환자
- 면역억제 치료를 받는 환자
- 집단 생활자
- 만성질환자
- 선천성·후천성 면역저하자 등
소아의 경우 만 5세 미만에서는 폐렴구균 백신 접종이 권장되며 일반적으로 2, 4, 6개월에 3회 기초접종을 실시하고 12~15개월에 1회 추가접종을 합니다.
18~64세 성인 중 심혈관질환, 당뇨, 만성폐쇄성폐질환과 같은 호흡기질환, 간경화, 간질환, 알코올 중독, 신장질환, 신부전, 머리뼈 골절 등으로 인한 뇌척수액 누출, 인공와우 이식 등이 있는 경우 폐렴구균 백신을 반드시 맞아야 합니다.
고령 환자들은 일반 성인보다 3~4배 더 폐렴이 잘 발생하고 폐와 면역기능이 떨어져 합병증 발생이 많아 사망률이 거의 70배 정도 높습니다.
폐렴구균 예방 백신에는 13가와 23가 두 종류가 있고 23가 백신은 보건소에서 65세 이상의 경우 무료 접종이 가능합니다.
13가 백신은 의료기관에서 접종이 가능하고 23가 백신은 접종 후 5년 내 예방효과가 대부분 떨어지기 때문에 반복 접종이 필요하나 13가 백신은 장기간 예방 효과가 유지되기 때문에 재접종은 필요하지 않습니다.
폐렴에 좋은 음식

배
기침, 가래를 완화하는 효과가 있고 열을 내려줍니다. 호흡기 질환 치유에 도움을 주고 꿀이나 도라지와 함께 먹으면 더욱 좋습니다.

도라지
가래에 특히 효과가 있고 폐의 노폐물을 없애주는 효과와 기침 완화, 폐 기능 향상의 효능이 있습니다. 기관지, 기침에 좋은 음식입니다.

생강
가래와 기침에 좋고 폐의 세포를 활성화하는 데 도움을 주어 예방과 치유 효과가 있습니다.

마늘, 양파
비타민과 마그네슘이 많아 면역력 향상에 도움을 주고 항균, 항암효과가 있습니다.

토마토
폐 손상을 일으키는 유해산소를 감소시키는 데 도움을 줍니다.

꿀, 조청
피로해소와 스트레스 완화에 효과가 있고 면역력 향상에 도움이 됩니다.
2023.01.06 - [건강 정보] - 감기약 제대로 알고 먹기! 감기약 복용
감기약 제대로 알고 먹기! 감기약 복용
겨울이 오고 날씨가 추워지면서 흔하게 발생하는 질환 중 하나가 '감기'입니다. 보통 감기에 걸리신 분들은 크게 아픈 증상이 아니면 집에 남아 있는 감기약을 먹거나 약국에서 '종합 감기약'을
morning.berry1213.com
'건강 정보' 카테고리의 다른 글
| 관자놀이 통증 |측두동맥염 (0) | 2023.11.17 |
|---|---|
| 쇼그렌 증후군 증상 치료 및 관리법 (0) | 2023.11.16 |
| 방광염 증상 원인과 치료 (0) | 2023.11.10 |
| 손발이 저리는 이유|손발 저림 증상 및 예방법 (0) | 2023.11.09 |
| 어깨 통증 원인 (0) | 2023.11.08 |
댓글